
Leica Microsystems acquires Atto-Tec
The microscopy and scientific instrumentation company has taken over the specialty supplier of fluorescent dyes and reagents from Siegen.

The microscopy and scientific instrumentation company has taken over the specialty supplier of fluorescent dyes and reagents from Siegen.

Opportunities for undergraduate, graduate, medical students, residents fellows and physicians to conduct interdisciplinary research at University of Central Florida.

CeBAI is based at the University at Albany, NY, and focuses on the development of new diagnostic tools and forensic applications.

Photoactivated cells exhibited signs of cell death by light-induced pyroptosis.

As a tool for influencing biofilm growth patterns, laser manipulation could enable biofilms to be used for sensors.

Power to see more with improved resolution and light dose balance.

Federal Ministry for Economic Affairs and Climate Protection (BMWK) and Spectaris test new concept at SPIE Photonics West in San Francisco

Lasers could deliver a sustainable answer to the expensive problem of bird damage to crops.

New approach to engineer enhanced plants with expanded light absorption capabilities.

Caltech’s Simon Mahler receives the 2024 SPIE Franz Hillenkamp Postdoctoral Fellowship to achieve progress on real-time blood-flow monitoring in the human brain.

Leibniz IPHT offers career workshop in Jena – registration open until August 31, 2023, travel grants available.

Sales growth of seven percent per year expected until 2027

Ultrafast laser company joins forces with key European provider of photonics technologies as it focuses on biomedical, semiconductor, energy and defense sectors.

The company welcomes its customers and employees to new premises at the Gräfelfing site near Munich

€6.7M project works on new tool for cancer diagnostics – Rapp Optoelectronic coordinates partners from industry and academia.

The concept is the cornerstone of a technological solution that enables non-invasive health checks for millions of patients worldwide.

The company will start launching the product in the US without delay – European Union authorization is expected this year.

The Leibniz Institute of Photonic Technology IPHT was awarded $20,000 from the Chan Zuckerberg Initiative.

Rather than having to prick with a needle or wear an implant, in the future people with diabetes will simply be wearing a wrist-worn device that reads their glucose with a minilaser.

Fluorescence imaging helps improve outcomes in head and neck skin cancer treatment – at reduced cost.

Plastic sheets coated with an europium-based compound converts UV light to red light.

With a multimodal microscope, the joint project PriMe wants to detect bacterial infestation using fast, marker-free, and contactless imaging.

Placing photosynthetic antenna complexes between two mirrors to detect a strong interaction.

Technology uses polaritons to convert light to electrical charge. New approach could boost solar cell efficiency.

Detecting much more subtle biological events using a neural network.

The new collaborative project ‘BetterView’ is working on a special surgical microscope in order to detect cholesteatomas – an aggressive form of chronic otitis media – and bacterial biofilms and to remove them safely.

Issue 1/2022 – February / March – is online and has been mailed. It includes feature articles from Cailabs, Coherent, Hamamatsu Photonics, Ingeneric, iPronics, Joya Team, Solmates, and more companies and institutions. On the cover: Shenzhen JPT Opto-Electronics.

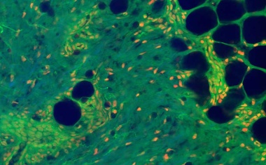
New method can be used to reveal previously unrecognised alterations in the pancreas, but it can also be used to study other human organs and diseases.

Jenoptik achieves sales growth of 29.6 percent in the 2nd quarter 2021 compared to the previous year. Half-year sales increased by 18.3 percent to 389 million euros. Based on these figures, the optics group is increasing its targets for 2021 as a whole: sales are expected to rise to 880 to 900 million euros and the EBITDA margin to 19 to 19.5 percent.

Europe’s first pilot line for photonics-based medical devices supports companies in the development of new medical diagnostics solutions.