Sill Optics fördert Forschungsprojekt
Sill Optics ist Teil des Forschungsprojektes QEED, das an der Erkennung von Biomarkern mit Quanten-Licht forscht.
Der Projektname QEED (Quantum Enhanced Early Diagnostics) steht für „Quanten-Licht für eine neue Bildgebung zur frühen und differenzierten Erkennung von Biomarkern in der personalisierten Medizin“.
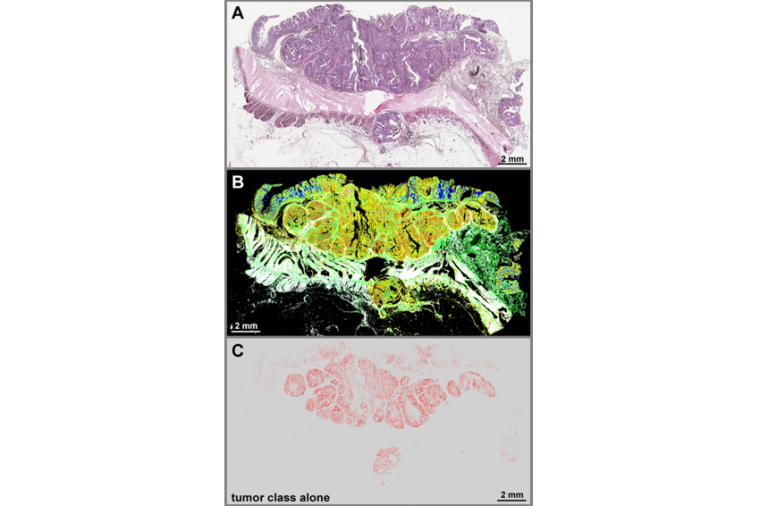
Eine wichtige Herausforderung in der klinischen Krebsdiagnostik ist die Notwendigkeit einer schnellen Analyse von Gewebeschnitten. Das Projekt zielt darauf ab, Messinformationen aus dem klinisch relevanten mittleren Infrarot (MIR) in das Nahinfrarot (NIR) zu übertragen, indem ein neuartiges Bildgebungsverfahren entwickelt wird. Mit der Entwicklung einer Mikroskopie-Methodik, die Untersuchungen von Gewebeproben ohne Einfärbung (label-free) ermöglicht und die Messdauer einer 10MP-Aufnahme auf zwei Minuten reduziert, ließe sich der Probendurchsatz deutlich erhöhen, so das Forschungsvorhaben. Dadurch könnte die Untersuchung von Label-Free-Gewebeproben erstmals unmittelbar in den klinischen Arbeitsablauf eingebunden werden.

Sill Optics ist mit seinen Trapped Ion Objektiven bereits in den optischen Quantentechnologien vertreten und macht mit seinem Beitrag zu QEED einen weiteren bedeutenden Schritt in den Bereich der quantenbasierten Messtechnik. Im QEED-Forschungsprojekt trägt Sill Optics zum Projekterfolg bei, indem es das Scannermodul bestehend aus einem Spiegelscanner und angepassten Mikroskopobjektiven entwickelt und produziert.
Das Projekt ist Teil der Fördermaßnahme „Leuchtturmprojekte der quantenbasierten Messtechnik“ des Bundesministeriums für Bildung und Forschung (BMBF). Darin kombinieren zwei klinische Institute, drei Forschungsinstitute und fünf Industriepartner ihr Know-how. QEED hat eine Projektlaufzeit bis 31. Dezember 2027. Das Projektvolumen beträgt 11,9 Mio. Euro.












